El doctor José Luis de la Cruz destaca la importancia de la salud bucodental para el bienestar general
Descuentos por ser oyente de Radio Algeciras

El doctor José Luis de la Cruz destaca la importancia de la salud bucodental para el bienestar general
El código iframe se ha copiado en el portapapeles
Algeciras
En una reciente entrevista en los estudios de Cadena SER Algeciras, el doctor José Luis de la Cruz Muñoz, reconocido especialista en odontología y fundador de la clínica De la Cruz Odontología Digital y Medicina Estética, aborda la relevancia de mantener una buena salud bucodental y cómo esta influye directamente en el bienestar general.
Originario de familia algecireña, el doctor De la Cruz explicó que decidió establecer su proyecto en Algeciras tras más de dos décadas de experiencia en distintas zonas del Campo de Gibraltar. “Quería hacer un proyecto importante y dónde mejor que aquí, en Algeciras, la mejor ciudad del Campo de Gibraltar”, señaló con orgullo.
El especialista hace hincapié en la importancia de la prevención desde edades tempranas, destacando que “El doctor José Luis de la Cruz destaca la importancia de la salud bucodental para el bienestar general a no tener miedo al dentista y a mantener una correcta higiene bucodental”. También advirtió sobre el riesgo de hábitos como ofrecer a los niños biberones con miel o dulces, que pueden generar caries e infecciones con consecuencias a largo plazo.

Dr. de la Cruz y Gloria Masallá. / Rocío Santos

Dr. de la Cruz y Gloria Masallá. / Rocío Santos
El doctor subraya que la salud bucodental está estrechamente relacionada con enfermedades sistémicas, recordando que las bacterias presentes en la boca pueden afectar músculos y órganos vitales: “El corazón es un músculo, y hay muchos problemas cardíacos y neurológicos, como el Alzheimer o la demencia senil, que tienen relación con una mala salud oral”.
En cuanto a las recomendaciones básicas de higiene, De la Cruz insistió en la regla de oro: “Tres cepillados al día, de dos minutos cada uno, inmediatamente después de las comidas, y revisiones semestrales”. Su clínica ofrece estas revisiones de manera gratuita para facilitar la detección temprana de problemas.
Además, la clínica combina odontología con medicina estética, ofreciendo tratamientos faciales de armonización orofacial. “Cada vez más pacientes buscan una estética global, no solo una sonrisa bonita, sino una expresión facial armoniosa”, explica.
Respecto a los tratamientos dentales, su equipo multidisciplinar atiende todas las especialidades, desde odontopediatría hasta cirugía avanzada. De la Cruz destaca como tratamiento estrella los casos complejos de regeneración ósea e implantología inmediata: “En un mismo día realizamos extracciones, colocamos implantes y dientes fijos gracias a la tecnología 3D. Incluso utilizamos la propia dentina del paciente como injerto, con resultados espectaculares”.
Caso Inicial. / Dr.De la Cruz
Caso Inicial. / Dr.De la Cruz
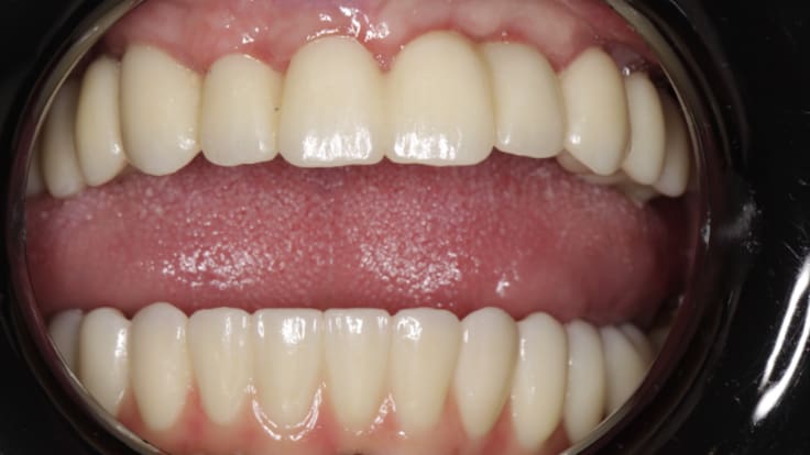
Prótesis definitiva Zirconio. / Dr.De la Cruz
Prótesis definitiva Zirconio. / Dr.De la Cruz
Resultado Final. / Dr. De la Cruz
Resultado Final. / Dr. De la Cruz
El doctor también resaltó el papel de la tecnología digital y la inteligencia artificial en la odontología moderna: “Todo se planifica mediante escáneres 3D y sistemas digitales que garantizan una precisión milimétrica. Es un avance enorme respecto a las técnicas tradicionales”.
Finalmente, el especialista anunció que los oyentes de Radio Algeciras podrán disfrutar de descuentos exclusivos en la clínica simplemente identificándose como tales al acudir al centro, ubicado en la Avenida de las Fuerzas Armadas, esquina con calle Agentes Comerciales, donde antes se encontraba el antiguo Banco Andalucía.
“Queremos que todos se sientan bienvenidos y reciban un trato exquisito”, concluyó el doctor José Luis de la Cruz, agradeciendo la oportunidad de compartir sus conocimientos y experiencias con los oyentes.




