Radiologia de urgència
Demà comença a Barcelona el sisè Congrés dels Radiòlegs Catalans, dedicat a la radiologia d’urgències

Dr. X.Lucaya i Radiòlegs.cat

Barcelona
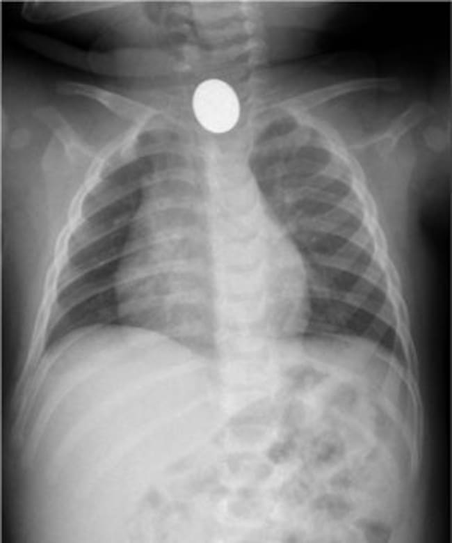
Els radiòlegs catalans comencen demà el seu congrès , dedicat a la radiologia d’urgències. Una de les situacions més habitual d’aquests especialistes és la intervenció provocada per la ingesta d’un objecte o cos estrany.
Segons informen els organitzadors del congrés, cada setmana hi ha casos d’aquest tipus en els hospitals catalans, que afecten majoritàriament a infants, però només un petit percentatge d’aquests requereix finalment hospitalització. La majoria d’ocasions els objectes deglutits són monedes.


Els radiòlegs convoquen aquesta trobada amb ànim de reclamar el seu paper en el sistema sanitari, ja que avui dia intervenen en el 85% de diagnòstics de les principals malalties, i sovint porten a terme procediments per a curar els pacients, com passa en la radiologia intervencionista de cardiologia, davant un ictus i accidents vasculars, etc.
Fins dissabte, més de 300 participants seguiran les sessions del Congrés a l’Auditori Axa de la ciutat de Barcelona.




