Detenen la distribuïdora del cremagreixos 'Pura Alegría'
Els Mossos d'Esquadra han detingut una dona de Castelló d'Empúries que distribuïa el cremagreixos ‘Pura Alegria’, que ha causat problemes neurològics a almenys set persones. També ha comissat 4000 pastilles d'aquest producte que es venia al mercat negre perquè aquí no està permès.

Els pots intervinguts. / Mossos d'Esquadra

Girona
És un complement a la dieta per aprimar-se importat des de Mèxic, que es ven com a natural però que no ha superat els controls perquè conté un pesticida tòxic que pot provocar suors, hipertensió i afectacions neurològiques.

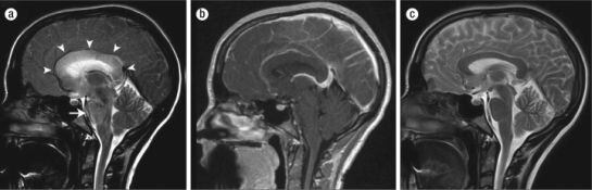
Les imatges mostren la hipertensió anormal que pateix el cervel pel consum deThermatrim / Baylor University Medical Center Proceedings

Les imatges mostren la hipertensió anormal que pateix el cervel pel consum deThermatrim / Baylor University Medical Center Proceedings
Fa uns dies, la Generalitat ja va donar la veu d'alarma després de comprovar que algunes persones que l'havien pres havien patit problemes. Tres, fins i tot, van necessitar ser ingressades a l'Hospital. Dos eren menors.
La detinguda, una dona de 46 anys de Castelló d'Empúries, operava des de l'Alt Empordà i tenia 67 pots amb 60 comprimits a cadascún.
Per evitar els controls, havien canviat el nom inicial del producte -que es deia Thermatrim i que ja havia estat prohibit- pel de ‘Pura Alegria’.
La policia va comprovar que el producte que havien pres els primers afectats provenia de la zona de Girona però no descarta que hi pugui haver altres punts de distribució. La investigació continua oberta.

Raül Muxach
En Ràdio Girona desde 1998. Redactor de informativos y narrador de partidos de futbol y baloncesto.




