Estudi pioner de Sant Pau per detectar una proteïna clau en l’Alzheimer
S'explora un mètode de localització i tractament de la proteïna tau en malalties neurodegeneratives. Pot donar lloc a nous tractaments per l’Alzheimer en els propers anys

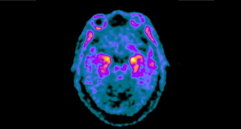
Imatge de PET-Tau en un pacient amb Alzheimer / Servei de Medicina Nuclear (Hospital de la Santa Creu i Sant Pau)

Barcelona
La Unitat de Memòria del Servei de Neurologia conjuntament amb el Servei de Medicina Nuclear de l’Hospital de la Santa Creu i Sant Pau han iniciat un estudi en Fase I que per primera vegada a l’Estat aplica tècniques de Medicina Nuclear per a la detecció de la proteïna tau en el cervell de persones que pateixen la malaltia d'Alzheimer i demència frontotemporal.
En l’estudi s’administra en els pacients un traçador radioactiu PET que detecta la proteïna tau i els seus cúmuls anormals en el cervell dels pacients. L’estudi està finançat per la Fundación BBVA i l’Instituto de Salud Carlos III.
Tant la demència frontotemporal com la malaltia d'Alzheimer comparteixen acumulacions anormals de proteïna tau en l’interior de les neurones, cosa que provoca la mort d’aquestes cèl·lules.
Enl ’Alzheimer el paper de la proteïna tau és cada cop més important ja que hi ha diversos assajos clínics que investiguen diferents formes d’eliminar-la del cervell amb anticossos anti-tau. La mateixa Unitat de memòria de Sant Pau té dos assajos amb anticossos anti-tau per a persones amb malalatia d'Alzheimer lleu i en un d’ells es realitza la detecció de la proteïna a través d’un traçador radioactiu per PET.
Sant Pau és l’únic centre a l’Estat que combina un projecte de recerca per a la detecció de proteïna tau a través d’un traçador PET i fa assajos clínics amb teràpies anti-tau en persones amb aquesta malaltia. Els estudis amb tractaments anti-tau poden donar lloc a nous tractaments per l’Alzheimer en els propers anys.




