Un avance en el tratamiento del alcoholismo
El Instituto de Neurociencias descubre que el daño cerebral que provoca el alcohol no cesa al dejar de beber
La investigación explica las recaídas que sufren las personas que deciden dejar de abusar de esta sustancia

Hoy por Hoy Alicante | Santiago Canals, investigador del Instituto de Neurociencias: "El daño cerebral inducido por el alcohol no cesa al dejar de beber"
El código iframe se ha copiado en el portapapeles
Alicante
Los efectos perjudiciales del alcohol en el cerebro son ampliamente conocidos, pero a diferencia de lo que pensaba la comunidad científica, este estudio ha podido demostrar que los daños que provoca no cesan al dejar de beber.
Es lo que han descubierto investigadores del Instituto de Neurociencias (centro mixto de la Universidad Miguel Hernández y del Consejo Superior de Investigación Científicas) y del Instituto Central de Salud Mental de Mannheim, en Alemania.
El doctor Santiago Canals, director de la Unidad de Neurobiología Celular y de Sistemas del Instituto de Neurociencias y coordinador de la investigación, asegura que ha sido fundamental el apoyo del instituto alemán, ya que les ha permitido comprobar entre pacientes hospitalizados por su dependencia al alcohol cómo el daño cerebral durante la fase de abstinencia continuaba produciéndose.

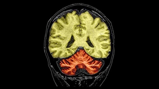
Resonancia magnética coloreada de un paciente con un largo historial de abuso de alcohol

Resonancia magnética coloreada de un paciente con un largo historial de abuso de alcohol
Además, gracias a un experimento de laboratorio con ratas, han monitorizado las alteraciones del alcohol en distintas partes de su cerebro. Ahora, añade el doctor Canals, se trata de caracterizar esos procesos inflamatorios y degenerativos con el fin de entenderlos y poder responder con nuevos fármacos.
Pero, de momento, lo que ha quedado claro es que la ayuda o el apoyo que se le debe prestar a las personas que deciden dejar el consumo del alcohol se debe prolongar durante periodos más prolongados de tiempo y explica las recaídas que durante este proceso padecen muchos de ellos.
El consumo excesivo de alcohol está en el origen de más de 200 enfermedades y provoca cada año 3,3 millones de muertes en el mundo.

Carlos Arcaya
Licenciado en Ciencias de la Información por la EHU-UPV. Redactor de Radio Alicante desde 1992, antes...




