La Unidad de Traumatología de Quirónsalud, pionera en el uso de la impresión 3D en Alicante
La impresión 3D mejora el porcentaje de éxito de la cirugía

Quironsalud / Getty Images

Alicante
El equipo de Traumatología de Quirónsalud Alicante trabaja en la impresión 3D de piezas de plástico idénticas a los huesos de los pacientes para que los cirujanos puedan prepararse mejor la ejecución de las operaciones traumatológicas. La impresión en 3D cobra relevancia tanto para mejorar la comprensión de la anatomía como para poder diagnosticar las lesiones, fundamentalmente óseas, y así planificar una correcta estrategia de tratamiento.
¿Pero cómo lo hacen?
Para crear el modelo 3D de la zona que se va a intervenir primero realizan una tomografía computerizada al paciente, lo que conocemos como TAC, o un resonancia magnética (RM), son imágenes en dos dimensiones, con superposición de las estructuras. La realización de un modelo impreso en 3D requiere de un potente equipo informático, capaz de transformar las imágenes de un TAC o una RM en una reconstrucción en tres dimensiones, la cual es transmitida a una impresora, que, utilizando un material específico, transforma esa información en un objeto físico, reproducción exacta de la anatomía del paciente individualizado.
Esta réplica del hueso se entrega a los cirujanos para que puedan ver de un modo real lo que se van a encontrar en la intervención y, así poder planificar la cirugía, elaborar líneas de corte (elegir y modelar los implantes a usar, sean prótesis, placas de osteosíntesis, etc.) y aplicarlas sobre la pieza. Esto permite realizar resecciones con una precisión milimétrica en un espacio que es muy complicado de ver durante la intervención, según el doctor Luis Sánchez Navas, jefe de Traumatología de Quirónsalud Alicante, “esta réplica personalizada reduce mucho el margen de error, disminuye el tiempo quirúrgico y por tanto, las complicaciones derivadas de una larga exposición mejora el porcentaje de éxito de la intervención y la recuperación del paciente porque, al planificar con antelación la forma de la cirugía, consiguen que la intervención se haga en menos tiempo y de un modo más limpio”.
¿Cuáles son las ventajas de la impresión en 3D?
Una de las principales ventajas de la impresión en 3D es que permite una visión espacial de la pieza que se va a extirpar, por ejemplo en el caso de en la artrosis, al quitar el hueso deteriorado se deja el hueco exacto para la prótesis predefinida que se ha planificado implantar, en fracturas se puede reconstruir la fractura como si fuera un puzle, y sobre ella modelar y prever los materiales que sean estrictamente precisos, pudiendo extraer las partes blandas y otros elementos que en cirugía dificultan la visión y manipulación del defecto completo. Esto facilita la realización de un abordaje más seguro, más rápido y mucho más exacto, lo que se traduce en que esa cirugía tendrá mayor probabilidad de conseguir resultados satisfactorios para el paciente y este se recuperará mejor.
Permite planificar los implantes protésicos o los injertos necesarios antes de la intervención. Al poder hacer modelos a escala 1:1 se pueden medir los tornillos, las barras las prótesis y otros elementos protésicos y de osteosíntesis antes de la cirugía para saber de un modo exacto qué se debe implantar.
Pero, si damos un paso más, no solo se puede obtener maquetas de la anatomía del paciente y su lesión, sino que se pueden diseñar guías, plantillas y herramientas para conseguir una cirugía más rápida y precisa. También ayuda a preparar y probar implantes protésicos, injertos óseos, osteotomías (realización de cortes en un hueso para cambiar su posición, tamaño, corregir curvaturas…) y otras técnicas previas a la cirugía. En definitiva, nos permite realizar una medicina mucho más precisa y personalizada.
Pero no solo eso, también nos permite una mejora de la relación médico-paciente, pudiendo mostrar antes de la intervención, de una forma muy visual, la lesión de presenta, así como los pasos a seguir para solucionarla, resolver dudas y hacer más partícipe al paciente tanto en su tratamiento cómo en su recuperación.
¿Qué precio tiene la impresión 3D?
Otro aspecto muy positivo a tener en cuenta en el uso de esta técnica es el coste de la impresión, pues el coste del material es relativamente bajo comparado con las ventajas que supone. Donde encontramos el mayor coste es en la impresora 3D, pero al tener un gran uso este coste se amortiza, además con el paso del tiempo la técnica va mejorando y cada vez van apareciendo mejores modelos con precios más económicos.
Un caso real de cirugía realizada con impresión 3D
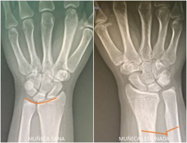
Un ejemplo reciente tratado en Quironsalud Alicante es el caso de una paciente de 16 años que acude a la consulta por dolor en su muñeca que le limita sus actividades diarias como consecuencia de una fractura sufrida 4 años antes.
Mediante la impresión de un modelo 3D se pudo valorar la lesión, decidir el tratamiento más adecuado (un acortamiento del cúbito y una reinserción del menisco mediante artroscopia) y planificar todo el procedimiento.




Sobre Quirónsalud
Quirónsalud es el grupo hospitalario líder en España y, junto con su matriz Fresenius-Helios, también en Europa. Cuenta con más de 40.000 profesionales en más de 125 centros sanitarios, entre los que se encuentran 47 hospitales que ofrecen cerca 7.000 camas hospitalarias. Dispone de la tecnología más avanzada y de un gran equipo de profesionales altamente especializados y de prestigio internacional. Entre sus centros, se encuentran el Centro Médico Teknon, Ruber Internacional, Hospital Universitario Quirónsalud Madrid, Fundación Jiménez Díaz, Hospital Quirónsalud Barcelona, Hospital Universitario Dexeus, Policlínica de Gipuzkoa, etc.
El Grupo trabaja en la promoción de la docencia (ocho de sus hospitales son universitarios) y la investigación médico-científica (cuenta con el Instituto de Investigación Sanitaria de la FJD, único centro investigador privado acreditado por la Secretaría de Estado de Investigación, Desarrollo e Innovación).
Asimismo, su servicio asistencial está organizado en unidades y redes transversales que permiten optimizar la experiencia acumulada en los distintos centros y la traslación clínica de sus investigaciones. Actualmente, Quirónsalud está desarrollando más de 1.600 proyectos de investigación en toda España y muchos de sus centros realizan en este ámbito una labor puntera, siendo pioneros en diferentes especialidades como oncología, cardiología, endocrinología, ginecología y neurología, entre otras.




