Un chip tras la retina restaura la vista a 27 personas mayores con degeneración macular
Un ensayo clínico internacional ha conseguido que, después de colocarles este implante electrónico emparejado con unas gafas de realidad aumentada, estas personas con pérdida grave de visión han recuperado la capacidad de leer

La participante del estudio Sheila Irvine, paciente de Moorfields, entrena con el dispositivo PRIMA Crédito Hospital oftalmológico de Moorfields

En la fotografía que ha difundido los autores, este pequeño chip está encima del dedo índice de un de los investigadores. Se llama PRIMA. Es tan pequeño -dos milímetros- que cuesta verlo a simple vista. Este ingenio tecnológico, fruto de años de trabajo de un equipo enorme de científicos, se implanta tras la retina del paciente y se conecta a unas gafas.

El microchip ultrafino PRIMA, que restaura la visión a personas mayores, en el dedo de uno de los autores Crédito: Science Corporation

El microchip ultrafino PRIMA, que restaura la visión a personas mayores, en el dedo de uno de los autores Crédito: Science Corporation
Se las vemos puestas en otra fotografía a una mujer de unos 75 años, la edad media de los participantes del estudio. Se llama Sheila Irvine y es británica. Mira con mucha atención una frase escrita en letras grandes mientras se sujeta las gafas: "Fui al hospital", leemos en la pantalla.
La combinación del pequeño chip y las gafas ha tenido un resultado sensacional en esta paciente y 37 más: les ha permitido volver a leer letras, números e incluso palabras.
Sheila Irvine dice que, antes del implante, “era como tener dos discos negros en los ojos”. Tras la cirugía, ha podido volver a leer y hacer crucigramas. “Es una nueva forma de mirar a través de tus ojos", cuenta. "Fue muy emocionante cuando comencé a ver las letras de una carta. No es simple, pero ahora estoy aprendiendo a leer de nuevo", ha dicho.
Los resultados de Sheila y de casi todos los pacientes son impresionantes: "El chip logró restaurar parcialmente la vista en más del 80 % de los pacientes con degeneración macular asociada a la edad (DMAE)", leemos en el estudio. Recuerdan sus autores que "la DMAE es una enfermedad que, en muchos casos, no tiene cura". Es la causa más común de pérdida irreversible de visión entre los mayores de 60 años y en su forma atrófica, también conocida como "atrofia geográfica", destruye las células fotorreceptoras de la retina, las responsables de la "visión central". Esto les provoca, para el resto de su vida, una "visión periférica muy borrosa y deficiente".
Los resultados del ensayo los han publicado, de forma conjunta, en The New England Journal of Medicine, la Universidad de Stanford y colaboradores de una amplia red de hospitales y universidades europeas, entre ellas la Sorbonne Université, el INSERM y el CNRS franceses, la Universidad de Bonn, el Moorfields Eye Hospital de Londres y el Institut de la Vision de París.
¿Cómo funciona?
El sistema PRIMA combina un microchip fotovoltaico de 2 milímetros, implantado tras la retina, con unas gafas de realidad aumentada equipadas con una cámara y unidas a un pequeño ordenador portátil. La cámara capta la imagen del entorno y la transforma, mediante un algoritmo de IA, en un haz de luz infrarroja que se proyecta sobre el chip. El aparato convierte esa luz en señales eléctricas que actúan sobre las neuronas de la retina que todavía funcionan y las excita y estimula. A partir de ese momento, la información "visual" llega al cerebro por el camino habitual, pero con ayuda.

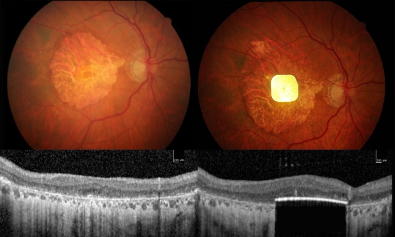
Imagen del chip en el ojo de un paciente Crédito: Science Corporation

Imagen del chip en el ojo de un paciente Crédito: Science Corporation
El chip es inalámbrico y se alimenta de la propia luz infrarroja de las gafas. El sistema les permite a los pacientes ampliar el contraste de la imagen y hacer zoom sobre ella hasta 12 veces. Según los investigadores, esta tecnología mantiene la visión periférica natural del paciente, integrándola con la nueva visión central protésica.
Los resultados
El ensayo incluyó a 38 pacientes de 17 hospitales en cinco países. De los 32 que completaron un año de seguimiento, 27 pudieron volver a leer y 26 mostraron "una mejora clínicamente significativa" en la agudeza visual.
El profesor José-Alain Sahel, del Institut de la Vision y la Universidad de Pittsburgh, ha explicado que “es la primera vez que un sistema permite a pacientes que habían perdido completamente la visión central volver a leer palabras e incluso frases, conservando su visión periférica”.
Por su parte, el profesor Mahi Muqit, del Moorfields Eye Hospital y la University College London, ha mostrado su euforia señalan que "entramos en una nueva era en la historia de la visión artificial". En su opinión, recuperar la capacidad de leer mejorará muchísimo la calidad de vida, el estado de ánimo y la independencia de los pacientes.
Atención a los efectos secundarios
El procedimiento quirúrgico para implantar el chip dura menos de dos horas. El ensayo demuestra que es "seguro y bien tolerado". Anotan los autores, eso sí, que "se registraron numerosos efectos secundarios" como hipertensión ocular o pequeñas hemorragias tras la retina pero también que "el 95 % se resolvió en las primeras semanas". Los autores creen que los beneficios son superiores a los riesgos.
Y aunque el chip PRIMA solo proporciona una visión en blanco y negro, el equipo de Stanford ya trabaja en una versión que permitirá una escala completa de grises y una resolución mucho mayor, con chips de hasta 10.000 píxeles. Los investigadores confían en que futuras generaciones del dispositivo puedan devolver una visión aún más nítida e incluso aplicarse a otras causas de ceguera.

Javier Ruiz Martínez
Redactor de temas de sociedad, ciencia e innovación en la SER. Trabajo en el mejor trabajo del mundo:...




